La administración en bandeja ayuda a que el peróxido de hidrógeno aplique su golpe a la biopelícula
por Jeanne Bosecker, BSN, RDH
Cuando la mayoría de nosotros pensamos en el peróxido de hidrógeno, nos imaginamos una botella marrón en el botiquín o en el kit de primeros auxilios. Los higienistas y dentistas también pueden tener algún recuerdo de «lenguas negras y peludas» como efecto secundario de los enjuagues bucales con peróxido de hidrógeno.
La verdad es que el peróxido de hidrógeno se utiliza de forma segura y eficaz en la odontología actual. Aunque su aplicación más común es el blanqueamiento dental, se han documentado importantes beneficios para la salud utilizando el peróxido de hidrógeno para tratar la gingivitis y la periodontitis.
El primer uso del peróxido de hidrógeno en odontología fue en 1913, utilizado para disminuir la formación de placa y controlar la «piorrea» o enfermedad de las encías. El mecanismo de acción antimicrobiana que ahora se conoce es la liberación de oxígeno, y se observan efectos patógenos tanto en los organismos grampositivos como en los gramnegativos.₁ Otro mecanismo de acción antimicrobiana es el efecto que tiene el peróxido de hidrógeno en el desbridamiento de las paredes de la llamada bacteriana. Una exposición de 10 minutos a un gel de peróxido de hidrógeno al 1,7% penetra en la matriz de limo del biofilm y desbrida las paredes celulares de los biofilms de S. mutans in vitro. Los microbiólogos también han planteado la hipótesis de que el peróxido administrado y mantenido en el surco o la bolsa periodontal libera oxígeno y cambia el microambiente subgingival, dificultando la supervivencia de las bacterias anaerobias.2,5 , 6
Se ha demostrado que la terapia con oxígeno reduce en gran medida o erradica los patógenos en la enfermedad periodontal necrotizante aguda, la forma más agresiva de la enfermedad periodontal.3
Para tratar la enfermedad periodontal, el problema es introducir el peróxido de hidrógeno en la bolsa periodontal y mantenerlo allí el tiempo suficiente para que funcione. Los estudios han demostrado que, aunque los enjuagues y dentríficos con peróxido de hidrógeno pueden ayudar, no son suficientes para introducir el medicamento en las bolsas periodontales donde se localiza la infección.1 Una bandeja personalizada con receta (Perio Tray, Perio Protect, LLC, St. Louis, Mo, USA) está diseñada para introducir una solución como el peróxido de hidrógeno en las bolsas periodontales en contra de la fuerza del flujo de líquido crevicular. Si se lleva la bandeja con el peróxido durante 15 minutos, se ha demostrado que el peróxido llega al fondo de las bolsas profundas >7mm.2,5 , 6
Es importante mantener la medicación en su sitio. Se ha demostrado que el peróxido de hidrógeno penetra en la cubierta de la matriz de limo que protege una biopelícula y luego desbarata las paredes celulares bacterianas, pero los estudios muestran que el peróxido necesita aproximadamente 10 minutos para hacerlo. Cuando las biopelículas se trataron con peróxido de hidrógeno al 1,7% durante cinco minutos y se examinaron mediante la técnica de vivo/muerto, sólo una pequeña proporción de las paredes celulares se vio comprometida. Sin embargo, al cabo de 10 minutos, prácticamente todas las paredes celulares bacterianas estaban alteradas. Para un grupo de control expuesto a un gel sin peróxido de hidrógeno, los resultados fueron los mismos que los del grupo que no recibió ningún tratamiento. Estos resultados demuestran que una exposición de 10 minutos a un gel acuoso de peróxido de hidrógeno al 1,7% puede desbaratar las paredes celulares bacterianas dentro de una biopelícula dental típica.2
Cuando el peróxido de hidrógeno se administra en profundidad en la bolsa y se mantiene en su lugar, los datos indican que las cargas bacterianas se reducen y también las profundidades de sondeo periodontal. En un estudio se realizó un seguimiento de cuatro pacientes con enfermedad periodontal que presentaban diferentes niveles clínicos. Las dosis fueron de 10 minutos dos veces al día (enfermedad periodontal de tipo I); cuatro veces al día durante cinco semanas (enfermedad periodontal de tipo II); y seis veces al día durante 15 minutos durante dos semanas (tipo IV). Los pacientes no recibieron SRP ni ningún otro tratamiento para su enfermedad periodontal, excepto la entrega de medicamentos en la bandeja de prescripción.
Se realizaron muestreos de biofilm utilizando puntos de papel absorbente mantenidos en las bolsas periodontales muestreadas durante 10 segundos antes de que comenzara el tratamiento con Perio Tray y de nuevo entre dos y cinco semanas después de que comenzara el tratamiento diario. Las puntas se exploraron con un microscopio electrónico. Se contaron las colonias, se definieron los morfotipos de las bacterias y se promediaron en tres áreas estándar de 100 µg² y se promediaron. Tras el análisis SEM inicial de los puntos de papel, las bolsas periodontales se trataron con peróxido de hidrógeno al 1,7% y una dosis subclínica (tres gotas por bandeja) de jarabe de Vibramycin, colocado de forma tópica por prescripción de Perio Trays. El análisis del punto de papel se repitió después de dos a cinco semanas de administración diaria de la medicación mediante Perio Tray.2
El primer paciente presentó una enfermedad periodontal de tipo II con sangrado al sondeo. Después de cinco semanas de tratamiento con la bandeja Perio Tray cuatro veces al día, no hubo sangrado al sondeo y se redujo la profundidad de la bolsa en 1-2 mm. En uno de los tres sitios no se encontraron bacterias después de cinco semanas. El segundo paciente presentaba una enfermedad periodontal de tipo I. Después de usar la bandeja Perio dos veces al día durante 10 minutos cada vez, no se detectó sangrado al sondeo y hubo una reducción de 2-3 mm en la profundidad de las bolsas. No se encontraron bacterias en tres de los cuatro sitios muestreados después de cinco semanas.

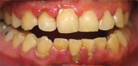
El paciente presentaba un 100% de BOP y un 74% de bolsas que medían 4-7 mm. Se inició la administración de gel de peróxido de hidrógeno al 1,7% en la bandeja perio, y se completó el desbridamiento de toda la boca un mes después.
El tercer paciente presentaba una enfermedad periodontal de tipo IV. Después de usar la bandeja Perio seis veces al día durante 15 minutos cada vez durante 2 semanas, no se detectó sangrado al sondeo, la profundidad de las bolsas se redujo 1-5 mm y no se encontraron bacterias en tres de los cinco sitios muestreados después de dos semanas. El cuarto paciente tenía una enfermedad periodontal de tipo IV y fue tratado seis veces al día durante 15 minutos durante dos semanas. No se encontró sangrado al sondeo en tres de los seis sitios muestreados, las bolsas se redujeron de 0 a 5 mm y dos sitios no tenían bacterias después de dos semanas de tratamiento.2

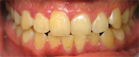
Imagen tomada una semana después del desbridamiento de toda la boca y cuatro semanas de entrega de Perio Tray de peróxido de hidrógeno al 1,7%. No se ha realizado ningún raspado en este momento.
Las pruebas in vitro e in vivo indican que la bandeja Perio Tray hecha a medida puede colocar los medicamentos en las bolsas periodontales a una concentración suficiente para que los medicamentos tengan un efecto terapéutico significativo. Los cálculos teóricos indican que el peróxido de hidrógeno es capaz de llegar a las bolsas periodontales profundas, incluso contra la presión del líquido crevicular gingival, y que el mecanismo de acción es la acción desbridadora oral del peróxido.2

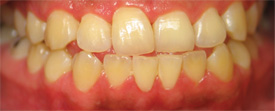
Aspecto después de cuatro meses durante la visita de recuerdo posterior al raspado.
Putt et al. realizaron un estudio con 30 pacientes con periodontitis de moderada a avanzada, que fueron asignados al azar a la PRS sola o a la PRS combinada con la aplicación en bandeja a medida (Perio Tray) de gel de peróxido de hidrógeno al 1,7% (Perio Gel) durante un período de tres meses. En este ensayo clínico a ciegas, se realizaron evaluaciones clínicas de la profundidad de sondeo de la bolsa (PPD) y del índice de sangrado (BI) al inicio y después de dos, cinco y 13 semanas de aplicaciones de peróxido; la PRS se realizó tres semanas después del inicio. El uso complementario durante tres meses de un gel de peróxido de hidrógeno al 1,7%, administrado mediante bandejas personalizadas de prescripción en el tratamiento de sujetos con periodontitis de moderada a avanzada, demostró mejoras clínicas estadísticamente significativas en la profundidad de las bolsas y el sangrado en comparación con la PRS sola.4

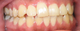
Apariencia después de seis meses. El paciente continuó utilizando la bandeja de prescripción de gel de peróxido de hidrógeno al 1,7% (Perio Gel).Todas las fotos son cortesía del Dr. Craig Buntemeyer
Un problema potencial con el sistema de entrega de la bandeja de prescripción para el peróxido de hidrógeno es que requiere el uso diario para ser eficaz. El cumplimiento del paciente es siempre una preocupación con cualquier instrucción de higiene oral. Sin embargo, en el estudio de Putt et al., los sujetos se mostraron receptivos al uso de bandejas correctamente ajustadas, especialmente después de observar rápidas mejoras en su estado bucal.4 Existen varias limitaciones asociadas al uso de agentes de administración local para la enfermedad periodontal, como la restricción de los cuidados en el hogar alrededor de los lugares, el sobrecrecimiento microbiano, la resistencia bacteriana a los antibióticos, las alergias y sensibilidades a los medicamentos de los pacientes y los problemas de retención. El sistema de bandejas de prescripción como Perio Tray supera la mayoría de estos problemas y ofrece algunas ventajas potenciales:
- Los pacientes pueden utilizar el sistema en casa entre las visitas al consultorio
- No es invasivo
- No hay restricciones en el cepillado o el uso del hilo dental alrededor de los sitios de tratamiento
- El tratamiento de arco completo es beneficioso para los pacientes con un número significativo de bolsas profundas
- La intervención coadyuvante es posible antes que con otros agentes de administración liberados en el tiempo
- .tiempo
- Puede colocar la medicación en bolsas periodontales de todas las profundidades, En teoría, permite una atención complementaria en las primeras fases de la progresión de la enfermedad, cuando ésta es más fácil de controlar
- Puede administrar un gel de peróxido de hidrógeno de baja concentración, que es un agente desbridador oral y limpiador de heridas seguro y bien conocido.4
Como higienistas, conocemos bastante bien el uso del peróxido de hidrógeno en el blanqueamiento dental. Sin embargo, como agente para tratar la enfermedad periodontal, es posible que la mayoría de nosotros no conozca el peróxido de hidrógeno como opción. Tratamos a muchos pacientes regularmente con diferentes niveles de enfermedad periodontal, y muchos pacientes se sienten incómodos o incluso pueden rechazar tratamientos como la PRS o la cirugía.
La administración de peróxido de hidrógeno en bandeja con receta es una gran opción para ayudar a estos pacientes que son reacios a aceptar la PRS o la cirugía. La entrega de la bandeja de la medicación es no invasiva y, según se informa, cómoda, Aunque se utiliza mejor como un adjunto a los métodos de terapia convencional, se ha demostrado que tiene efecto beneficioso por sí solo. La reducción de la carga bacteriana del biofilm en las bolsas mantendrá el tejido más sano, reducirá el sangrado y puede mantener al paciente más sano incluso si rechaza la PRS o la cirugía.
Cuando los pacientes cuyas enfermedades de las encías no están tan avanzadas como para requerir cirugía, la entrega de la bandeja de prescripción de peróxido de hidrógeno se puede utilizar en el inicio más temprano como una terapia adyuvante. No hay restricciones en cuanto a la profundidad de la bolsa con la entrega de la bandeja de prescripción, por lo que los tejidos infectados en bolsas de 3-5 mm pueden ser tratados con éxito antes de que la enfermedad empeore, y no hay preocupación por la medicación que se desplaza de una bolsa. Esto puede ser un importante paso de tratamiento preventivo, especialmente para aquellos pacientes que tienen una larga historia con usted luchando contra la enfermedad, o con bolsas infectadas generalizadas de 4-5 mm en las que queremos mantener un ojo muy cercano.
Hablando con higienistas que han utilizado la entrega de bandeja de prescripción, simplemente tiene sentido que esta técnica hace que nuestro trabajo como higienistas sea más fácil y mejor. Nos encanta que nuestro trabajo sea más fácil y mejor. El beneficio de que el paciente esté más sano hace que sea una situación ganadora para todos. RDH
1. Marshall MV, Cancoro LP, Fischman SL. Peróxido de hidrógeno. Una revisión de sus usos en odontología. J. Periodontol. 1995; 66:786-96.
2. Dunlap T, Keller DC, Marshall MV, Coserton JW, Schaudinn C, Sindelar B, Cotton JR. Entrega subclínica de agentes desbridadores orales: A proof of Concept. J. Clin Dent. 2011;22:149-58.
3. Gaggl AJ, Rainer H, Grund E, Chiari FM. Terapia de oxígeno local para el tratamiento de la enfermedad periodontal necrotizante aguda en fumadores. J. Periodontol. 2006; 77:31-38.
4. Putt MS, Proskin HM. Custom Tray Application of Peroxide Gel as an Adjunct to Scaling and Root Planing in the Treatment of Periodontitis: A Randomized, Controlled Three-Month Clinical Trial. J. Clin Dent. 2012; 23:48-56.
5. Schaudinn C, et al. Manipulación de la ecología microbiana de la bolsa periodontal. World Dental. 2010 Feb-Mar; 2(1): 14-18.
6. Schaudinn C, et al. Periodontitis: An Archetypical Biofilm Disease. J. Am Dent Assoc. 2009 Aug; 140(8): 978-86.
Jeanne Bosecker, BSN, RDH, es una higienista dental registrada que vive en los suburbios del noroeste de Chicago. Se licenció en enfermería, pero encontró su pasión en la odontología trabajando como asistente dental. Le encanta el contacto diario con el paciente y aprovecha cada oportunidad para educar a sus pacientes. Actualmente trabaja en dos consultorios dentales generales seis días a la semana. Se ha graduado tres veces en CareerFusion, ha asistido una vez a RDH Under One Roof y ha sido delegada dos veces en la Asociación de Higiene Dental de Illinois a través de su componente la West Suburban Dental Hygiene Society. Se puede contactar con ella en [email protected].
Peróxido de hidrógeno
La oxigenoterapia hiperbárica se ha utilizado en medicina para ayudar a tratar heridas de mala cicatrización en tejidos blandos y huesos.3 Un medio rico en oxígeno siempre inhibe el crecimiento de microorganismos anaerobios, apoyando eficazmente la terapia antibiótica y quirúrgica.3 Además, un medio rico en oxígeno mejora la función de los leucocitos, activando o apoyando los mecanismos de defensa locales del cuerpo en áreas que ya están frecuentemente mal perfundidas, lo que a su vez acelera el proceso de curación.3
El peróxido de hidrógeno es una sustancia que se produce de forma natural en el hígado humano, la leche materna y los glóbulos blancos como parte del sistema de respuesta inmune del cuerpo. Está catalogado oficialmente como agente desbridador oral y limpiador de heridas oral de venta libre (OTC). Las concentraciones de peróxido de hidrógeno de venta libre (≤3%) vienen en formulaciones líquidas y en gel. El peróxido de carbamida (urea) al 10% se descompone en aproximadamente un 3% de peróxido de hidrógeno y urea.
El paciente presentaba un 100% de BOP y un 74% de bolsas que medían entre 4 y 7 mm. Se inició la administración de gel de peróxido de hidrógeno al 1,7% en la bandeja perio, y se completó el desbridamiento de toda la boca un mes después. Cortesía del Dr. Craig Buntemeyer.
Aspecto después de cuatro meses durante la visita de recuerdo posterior al raspado. Cortesía del Dr. Craig Buntemeyer.
Imagen tomada una semana después del desbridamiento de toda la boca y cuatro semanas de entrega de Perio Tray de peróxido de hidrógeno al 1,7%. No se ha completado el raspado en este momento. Cortesía del Dr. Craig Buntemeyer.
Aspecto después de seis meses. El paciente continuó utilizando el gel de peróxido de hidrógeno al 1,7% (Perio Gel) prescrito por Perio Tray. Cortesía del Dr. Craig Buntemeyer.
Efectos secundarios
La lengua negra y peluda es un efecto secundario poco frecuente de los enjuagues con peróxido de hidrógeno. Cuando el uso del peróxido de hidrógeno se limita a las bandejas para la terapia periodontal, la lengua negra vellosa es rara. Hay poca información disponible sobre el uso de peróxido de hidrógeno o de carbamida para el blanqueamiento dental como causa de este efecto secundario.
La concentración de peróxido para las terapias periodontales complementarias debe ser baja. Las concentraciones más altas pueden tener un efecto secundario de sensibilidad dental. Por esta razón, los agentes blanqueadores de dientes que tienen una concentración mucho más alta de peróxidos, que van hasta el 35% en los geles de peróxido de carbamida, se utilizan en bandejas que mantienen los agentes alejados del tejido de las encías. Por lo tanto, estos productos no se aconsejan para ninguna terapia periodontal.1 Cuando los geles de peróxido se utilizan en concentraciones más bajas en bandejas de prescripción especialmente formadas que están diseñadas para entregar y mantener los agentes en el surco o la bolsa, (por ejemplo, la bandeja Perio con una concentración de 1,7% de peróxido de hidrógeno), los informes de sensibilidad son menores4 y se pueden tratar fácilmente con un producto de fluoruro entregado con la bandeja especial.
Un efecto secundario bien conocido del uso de peróxido es el blanqueamiento dental. Los pacientes que utilizan la entrega de bandejas de prescripción de productos de baja concentración de peróxido de hidrógeno para tratar la gingivitis o la periodontitis informan de dientes más blancos. Aunque estos resultados no son tan profundos como los tratamientos de blanqueamiento que dependen de concentraciones más altas de peróxido, no hay restricciones de alimentos o bebidas con el uso del gel al 1,7% como las hay con las exposiciones de dosis altas, y la concentración más baja no es tan probable que cause sensibilidad como las concentraciones más altas.1
El peróxido de hidrógeno en uso oral es extremadamente seguro. Los efectos tóxicos del peróxido de hidrógeno se observan para la ingestión del peróxido, no con el uso tópico. Con el peróxido de carbamida se dispone de pocos datos. No se han observado efectos genotóxicos nocivos significativos en animales o células de mamíferos.1 Se observó una toxicidad aguda en ratas con 5mg/kg de un blanqueador dental que contenía 35% de peróxido de carbamida cuando se administró por sonda.1 Un estudio posterior indicó que los productos que contenían peróxido de carbamida no eran genotóxicos, ni eran más tóxicos que los materiales dentales actualmente en uso.1 Para los usos orales que no implican la ingestión de los materiales de peróxido, la toxicidad no parece ser un problema.
Pasados números de RDH